Boğulma ve boğulma tehlikesi geçirme vakalarının 2025 yazında da büyük artış gösterdiğini belirten Prof. Dr. Şevket Özkaya, "Sadece Samsun sahilinde, hafta sonunda 10’a yakın vatandaşımız boğulma tehdidiyle karşı karşıya kaldı. Özellikle hafta sonları Çorum, Amasya, Tokat ve Sivas’tan sahillere gelen vatandaşlarımız bu tehlikeyle sıkça karşılaşıyor" diye konuştu.

"TOKAT'TAN GELENLER BU YAZ İLK SIRADA"
Geçen yaz Çorum'dan gelen vatandaşlar arasında boğulma olaylarının yoğun olduğunu ancak basının uyarılarıyla bu yıl sayının azaldığını hatırlatan Özkaya, "Bu yıl Tokat’tan gelen vatandaşlarımız arasında boğulma vakaları daha sık yaşanıyor. Tokat yerel basınının da yazın son ayında uyarılarda bulunarak, özellikle dalgalı ve rüzgârlı havalarda denize girilmemesini sağlaması gerekiyor" şeklinde konuştu.

RİP AKINTISI UYARISI: "ANORMAL DENİZ HAREKETLERİNDE SUYA GİRMEYİN"
Boğulma riskine karşı denize girerken dikkat edilmesi gereken en önemli unsurlardan birinin "ters akıntı" yani RIP akıntısı olduğunu vurgulayan Prof. Dr. Özkaya, "Denizin yüzeyinde anormal bir durum görüyorsanız kesinlikle suya girmeyin. Bu uyarı sadece Karadeniz için değil, Ege ve Akdeniz sahilleri için de geçerli. Depremlerle birlikte kıyı yapılarında değişiklikler oluyor ve bu durum boğulma riskini artırıyor" ifadelerini kullandı.
"GEÇEN YAZ BİNE YAKIN CAN KAYBI YAŞANDI"
Boğulma vakalarının her geçen yıl arttığını ve geçen yaz ülke genelinde bine yakın kişinin hayatını kaybettiğini aktaran Prof. Dr. Özkaya, "Bu yaz da boğulma vakalarında ciddi artış var. İnsanlarımızın dalgalı havalarda denize girmemesi, özellikle RIP akıntısına karşı bilinçli olması şart" açıklamasında bulundu.
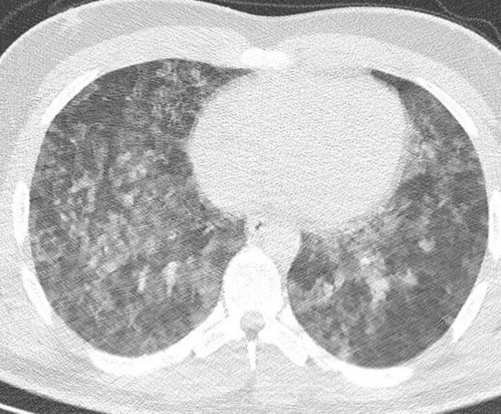
"TOKATLI GENÇ YOĞUN BAKIMDA KURTARILDI"
21 yaşındaki bir gencin tomografisini örnek olarak paylaşan Özkaya, "Tokat’tan gelen 21 yaşındaki bir vatandaşımız Samsun’da ciddi bir boğulma tehlikesi geçirdi. Canlandırma müdahalesiyle yoğun bakımda takip edilerek hayata tutundu ve sağlıklı şekilde taburcu edildi" dedi.





